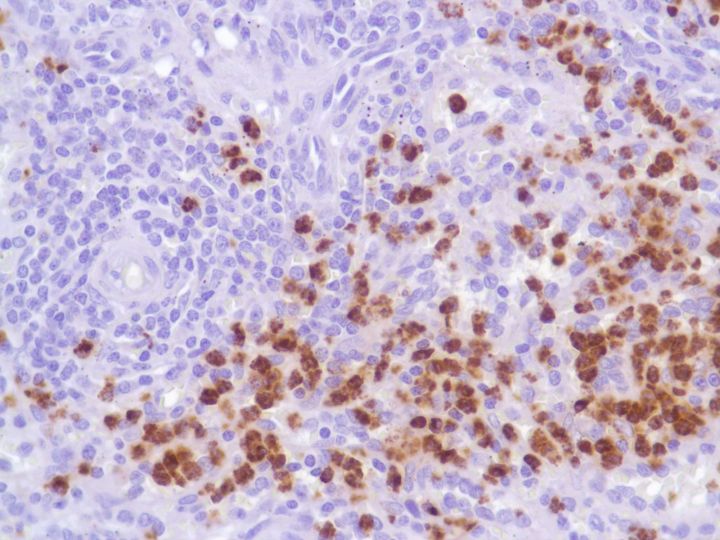
Myeloperoxidase (MPO) (SP72)

 Myeloperoxidase (MPO) is an important enzyme used by granulocytes during phagocytic lysis of engulfed foreign particles. In normal tissues and in a variety of myeloproliferative disorders myeloid cells of both neutrophilic and eosinophilic types, at all stages of maturation, exhibit strong cytoplasmic reactivity for MPO. Erythroid precursors, megakaryocytes, lymphoid cells, mast cells, and plasma cells are nonreactive. MPO is not observed in epithelial tumors and sarcomas. MPO is positive in myeloid leukemias, but negative in lymphoid leukemias.

....

Related Files