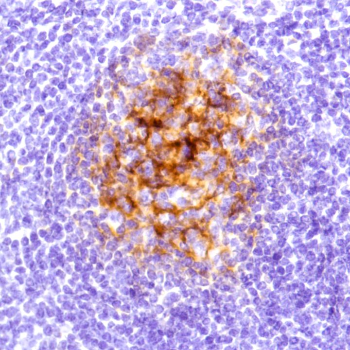
C4d (SP91)

 C4 plays a central role in the activation of the classical pathway of the complement system. Prior to secretion, the single-chain precursor is enzymatically cleaved to yield the non-identical chains (alpha, beta and gamma). During activation, the alpha chain is cleaved by C1 into C4a and C4b, and C4b stays linked to the beta and gamma chains. Further degradation of C4b by C1 into the inactive fragments C4c and C4d blocks the generation of C3 convertase. 

....

Related Files