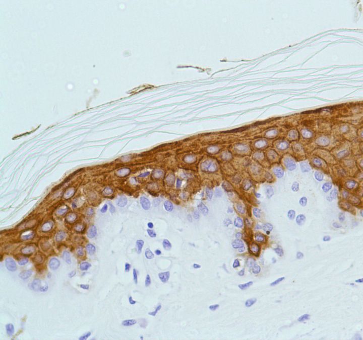
Keratin 10 (SP99)

 Cytokeratin 10 is a type I cytokeratin, expressed by suprabasal cells of stratified and cornified epithelia. Its defects are implicated in bullous congenital ichthyosiform erythroderma, epidermolytic hyperkeratosis and diffuse non-epidermolytic palomoplantar keratoderma.

....

Related Files