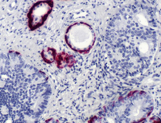
Keratin 5 (SP27)

 Twenty human keratins are pided into acidic (pI <5.7) and basic (pI >6.0) subfamilies. Members of the acidic and basic subfamilies are found together in pairs. The composition of keratin pairs varies with the epithelial cell type, stage of differentiation, cellular growth environment, and disease state. Many studies have shown the usefulness of keratins as markers in cancer research and tumor identification. Point mutations in cytokeratin 5 gene can cause various types of epidermolysis bullosa simplex. It is expressed in most epithelial and biphasic mesotheliomas.

....

Related Files