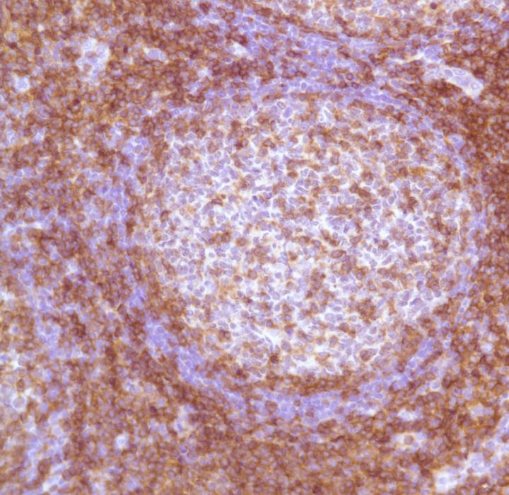
CD4 (SP35)

 CD4, a single chain transmembrane glycoprotein, is found on a T cell subset (helper/inducer) representing 45% of peripheral blood lymphocytes. It is also present on 80% of thymocytes and at a lower level on monocytes. It is involved in recognition of antigen presented along with MHC class II by APCs. It serves as receptor for HIV and is expressed in T cell lymphomas. Non-specific nuclear staining is sometimes seen in follicles with this antibody; however in most cases it does not interfere with the interpretation of the CD4 membrane staining.

....

Related Files