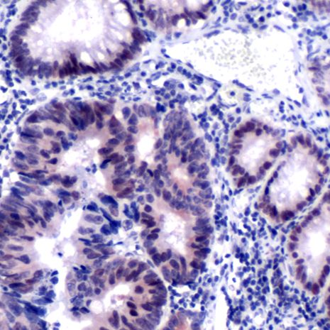
MSH2 (SP46)

MSH2 is involved in DNA repair as a mismatch repair protein, and mutations of MSH2 are found in approximately 50% of inherited non polyposis colorectal carcinoma (HNPCC) (Lynch syndrome) cases. HNPCC is an autosomal, dominantly inherited disease associated with marked increase in cancer susceptibility. It is characterized by a familial predisposition to early onset colorectal carcinoma and extra-colonic cancers of the gastrointestinal, urological and female reproductive tracts. HNPCC is reported to be the most common form of inherited colorectal cancer in the western world. 

....

Related Files