Welcome to Discovery-Sci

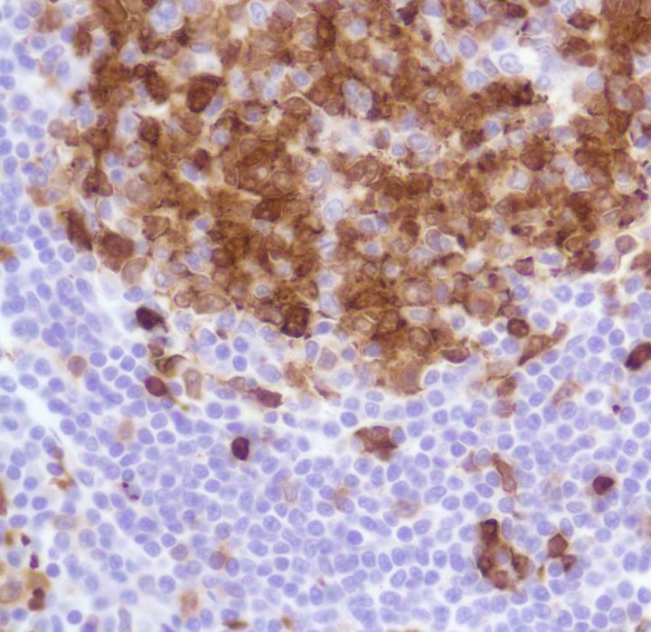
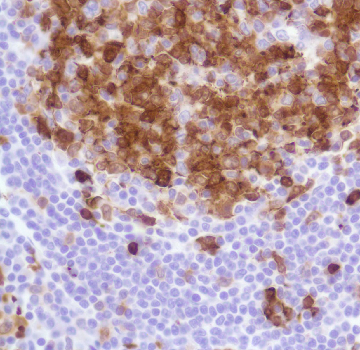
Stathmin (SP49)

Stathmin is a ubiquitous cyotsolic phosphoprotein proposed to function as an intracellular relay integrating regulatory signals of the cellular environment. The encoded protein is involved in the regulation of the microtubule filament system by destabilizing microtubules. It prevents assembly and promotes disassembly of microtubules. Alternattively spliced transcript variants encoding the same protein have been identified.

Related Files