Welcome to Discovery-Sci
AE1 & AE3

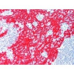
Anti - Cytokeratin Clone: AE1 & AE3 Broad Spectrum antibody is intended for in vitro diagnostic use. Cytokeratin (Pan) AIB-30067 IHC

Cytokeratin (Pan) Article No: AIB-30067 Type: Antibodies, Primary Research area: Cell Biology Application: IHC Format: concentrate Clone: AE1 & AE3 Size: 1 ml Description: Anti-Cytokeratin (Pan),
CE certified (IVD)
Isotype: IgG1 Immunogen: Epidermal human keratins Specificity: The antibody of clone AE1 detects the acidic (Type I) cytokeratins 10, 15, 16 and 19. The antibody derived from clone AE3 detects all basic (Type II) cytokeratins, i.e. CK1 to 8. That means the antibody cocktail AE1/AE3 detects all cells containing cytokeratins and is therefore called “pan-Cytokeratin“ antibody. Substrate/Buffer: Cocktail of mouse monoclonal antibodies from ascites in buffer with carrier protein and preservative for stabilisation Protocol: ~ 1:100 - 1:200 Ready-to-Use Pre-treatment Heat Induced Epitope Retrieval in Citrate Buffer pH 6.0 Control tissue Skin, adeno- or squamous cell carcinoma Working dilution 1:100-1:200 Incubation time 30 minutes The recommended positive control tissues for this antibody are skin, adeno- or squamous cell carcinomas This antibody stains positive in the cytoplasm of epithelial cells in formalin-fixed, paraffin-embedded tissue sections. Interpretation of the staining results is solely the responsibility of the user. Any experimental result should be confirmed by a medically established diagnostic procedure.

Related Files