Welcome to Discovery-Sci

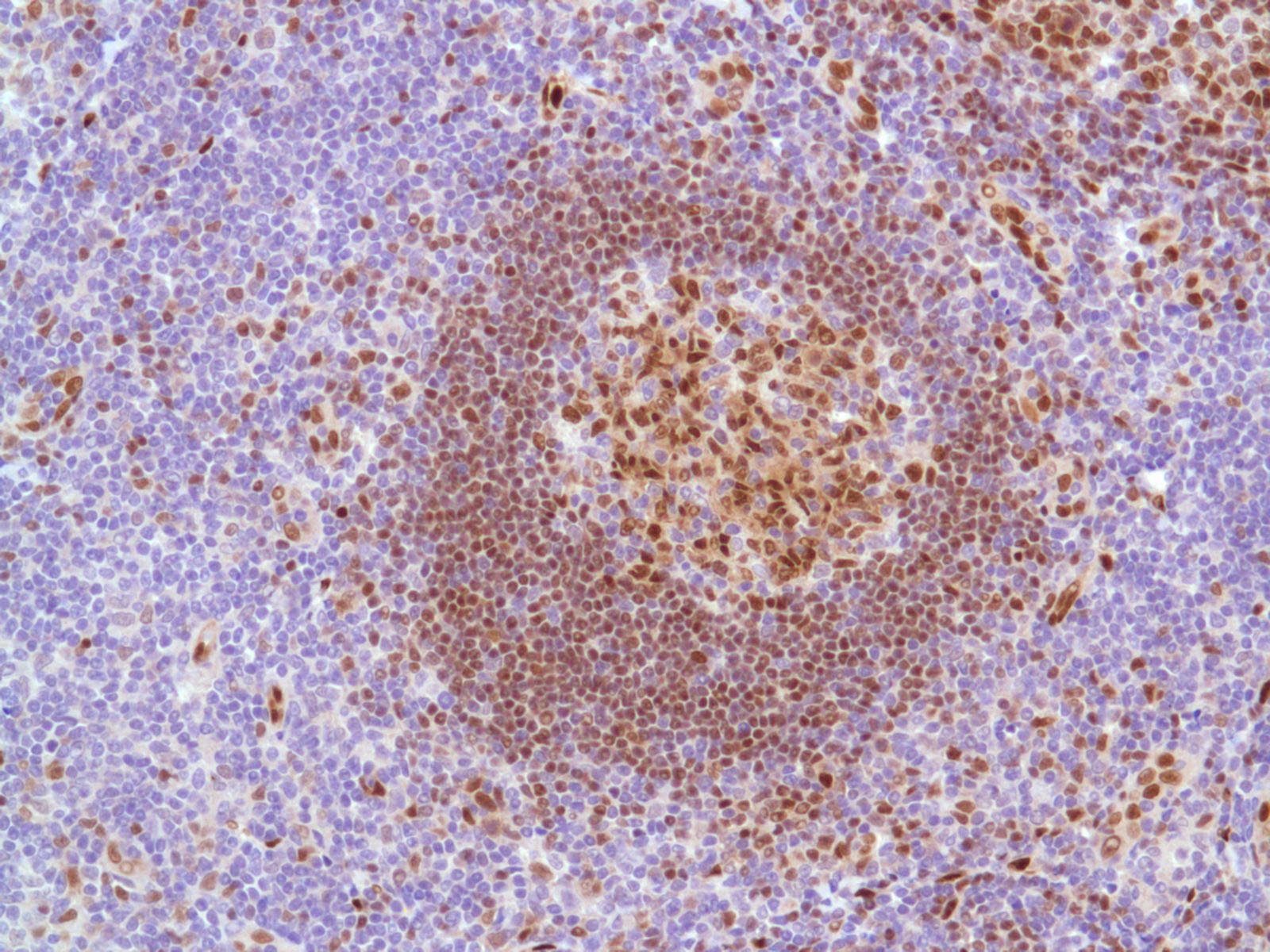
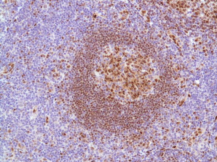
LMO2 (SP51)

LMO2 encodes a cysteine-rich, two LIM-doman protein that is required for yolk sac erythropoiesis. The LMO2 protein has a central and crucial role in hematopoietic development and is highly conserved. The LMO2 transcription start site is located approximately 25 kb downstream from the 11p13 T-cell translocation cluster (11p13 ttc), where T-cell acute lymphoblastic leukemia-specific translocations occur.

Related Files