Welcome to Discovery-Sci

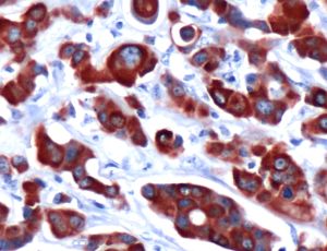
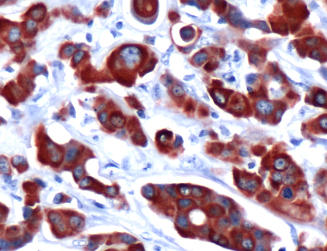
Keratin 7 (SP52)

Cytokeratin 7 is a basic cytokeratin which is found in most glandular and transitional epithelia but not in the stratified squamous epithelia. Keratin 7 is expressed in the epithelial cells of ovary, lung, and breast but not of colon, prostate, or gastrointestinal tract.

Related Files