Welcome to Discovery-Sci

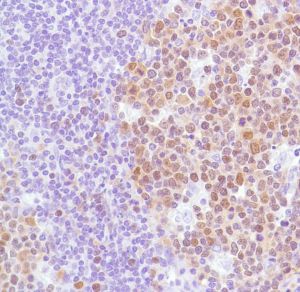
BCL-6 (SP155)

B cell lymphoma 6 protein (Bcl-6) proto-oncogene product (a Kruppel-type zinc-finger protein) is mainly expressed in normal germinal center B cells and related lymphomas. Bcl-6 is involved in chromosome rearrangements at 3q27 in non-Hodgkin’s lymphomas and Bcl-6 rearrangements have been detected in 33%-45% of diffuse large B cell lymphomas. Bcl-6 has been detected immunohistochemically in follicular lymphomas, diffuse large B cell lymphomas, Burkitt lymphomas and in nodular, lymphocyte predominant Hodgkin’s disease.

Related Files