Welcome to Discovery-Sci

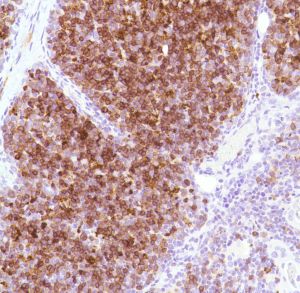
CD1a (SP157)

T cell surface glycoprotein CD1a is a member of the CD1 family of transmembrane glycoproteins and a MHC Class 1 related cell surface glycoprotein involved in antigen processing and presentation. It forms heterodimers with beta 2-microglobulin. CD1a is expressed by cortical thymocytes, Langerhan's cells, dendritic cells, precursor T lymphoblastic lymphoma, and Langerhan's cell histiocytosis.

Related Files