Welcome to Discovery-Sci

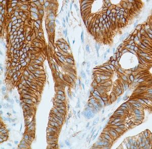
GIV (pY1765) (SP158)

Girdin (girders of actin filements), also known as APE and GIV, is a widely expressed cytosolic protein and plays a key modulating role for the AKT-mTOR signaling pathway. Girdin is membrane-associated and interacts with phosphoinositides. Four isoforms of Girdin have been reported. GIV (pY175) is overexpressed in some human cancers such as colon, breast, and pancreatic carcinoma.

Related Files