Welcome to Discovery-Sci

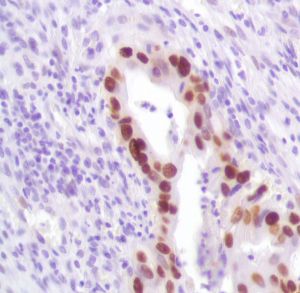
p53 (SP161)

p53 is a tumor suppressor gene expressed in a wide variety of tissue types and is involved in regulating cell growth, replication, and apoptosis. It binds to mdm2, SV40 T antigen and human papilloma virus E6 protein. p53 senses DNA damage and possibly facilitates repair. Mutation involving p53 is found in a wide variety of malignant tumors, including breast, ovarian, bladder, colon, lung, and melanoma.

Related Files