Welcome to Discovery-Sci

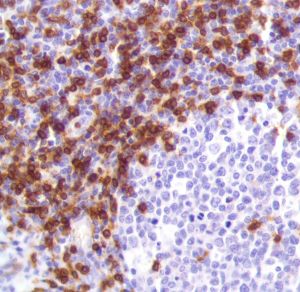
CD3 (SP162)

This antibody reacts with the intracytoplasmic portion of the CD3 antigen expressed by T cells. It stains human T cells in both the cortex and medulla of the thymus and in peripheral lymphoid tissues. This antibody is suitable for staining normal and neoplastic T cells in formalin-fixed, paraffin-embedded tissues.

Related Files