Welcome to Discovery-Sci

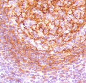
CD23 (SP163)

CD23 is a 45kDa glycoprotein, which is present on a subpopulation of freshly isolated peripheral blood and tonsil B cells and strongly expressed on EBV-transformed B lymphoblasts. The CD23 molecule is identical to the low affinity IgE receptor found on B cells. Expression of CD23 has been detected in neoplastic cells from cases of B cell chronic lymphocyctic leukemia and some cases of centroblastic/centrocytic lymphoma.

Related Files

1173_CD23.pdf (62.8Kb)