Welcome to Discovery-Sci

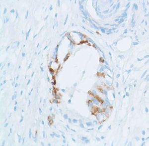
Spink1 (SP166)

Spink1 is a trypsin inhibitor secreted from pancreatic acinar cells into pancreatic juice. It prevents the trypsin-catalyzed premature activation of zymogens within the pancreas and the pancreatic duct. Spink-1 is overexpressed in some prostate carcinoma

Related Files