Welcome to Discovery-Sci

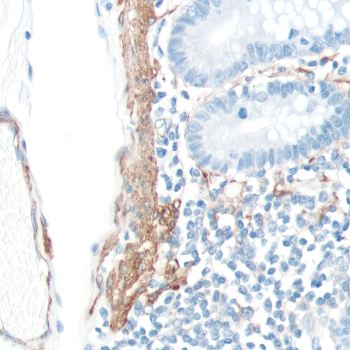
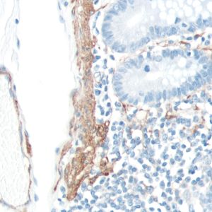
Actin-Smooth Muscle (SMA)

Smooth muscle actin-alpha (SMA) is a cytoskeleton protein in smooth muscle cells and their derived tumors such as leiomyoma and leiomyosarcoma. It is also expressed in myoepithelial cells of the breast and salivary gland, but not in fibroblasts, striated muscle, and myocardium.

Related Files