Welcome to Discovery-Sci

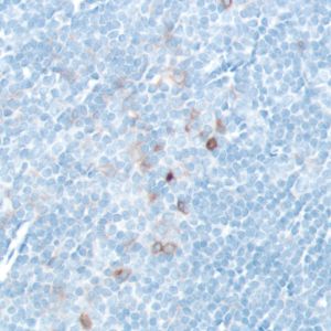
CD25 (SP176)

Interleukin-2 receptor subunit alpha, also known as CD25, is a type I transmembrane protein and the alpha chain of the IL-2 receptor. CD25 and CD122 form a heterodimer to act as a high-affinity receptor for IL-2. CD25 is expressed on activated T cells, activated B cells, some thymocytes, myeloid precursors, oligodendrocytes, and most B cell neoplasms, some acute nonlymphocytic leukemias, neuroblastomas, and tumor infiltrating lymphocytes.

Related Files