Welcome to Discovery-Sci

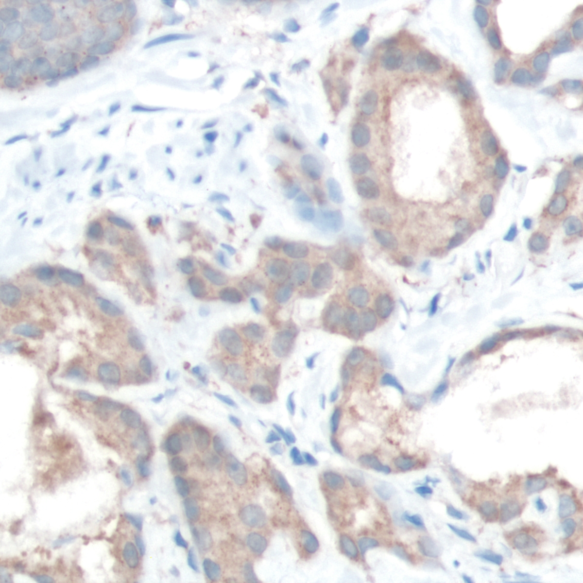
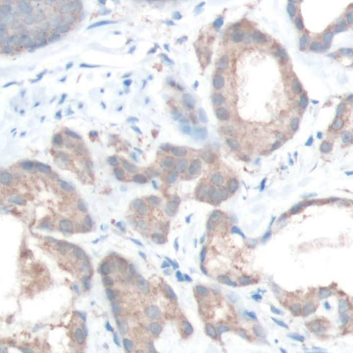
MAP4K4 (SP177)

Mitogen-activated protein kinase kinase kinase 4 (MAP4K4) is a member of stress activated MAP kinase signaling pathway. It directly phosphorylates and activates the c-Jun N-terminal kinase (JNK) and p38 families of MAP kinases in response to various stimulating factors. It involves the mediation of TNF-alpha signaling pathway. MAP4K4 is overexpressed in many types of human cancer such as carcinoma of prostate, ovarian, liver, and pancreas.

Related Files