Welcome to Discovery-Sci

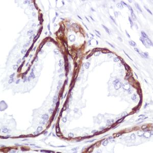
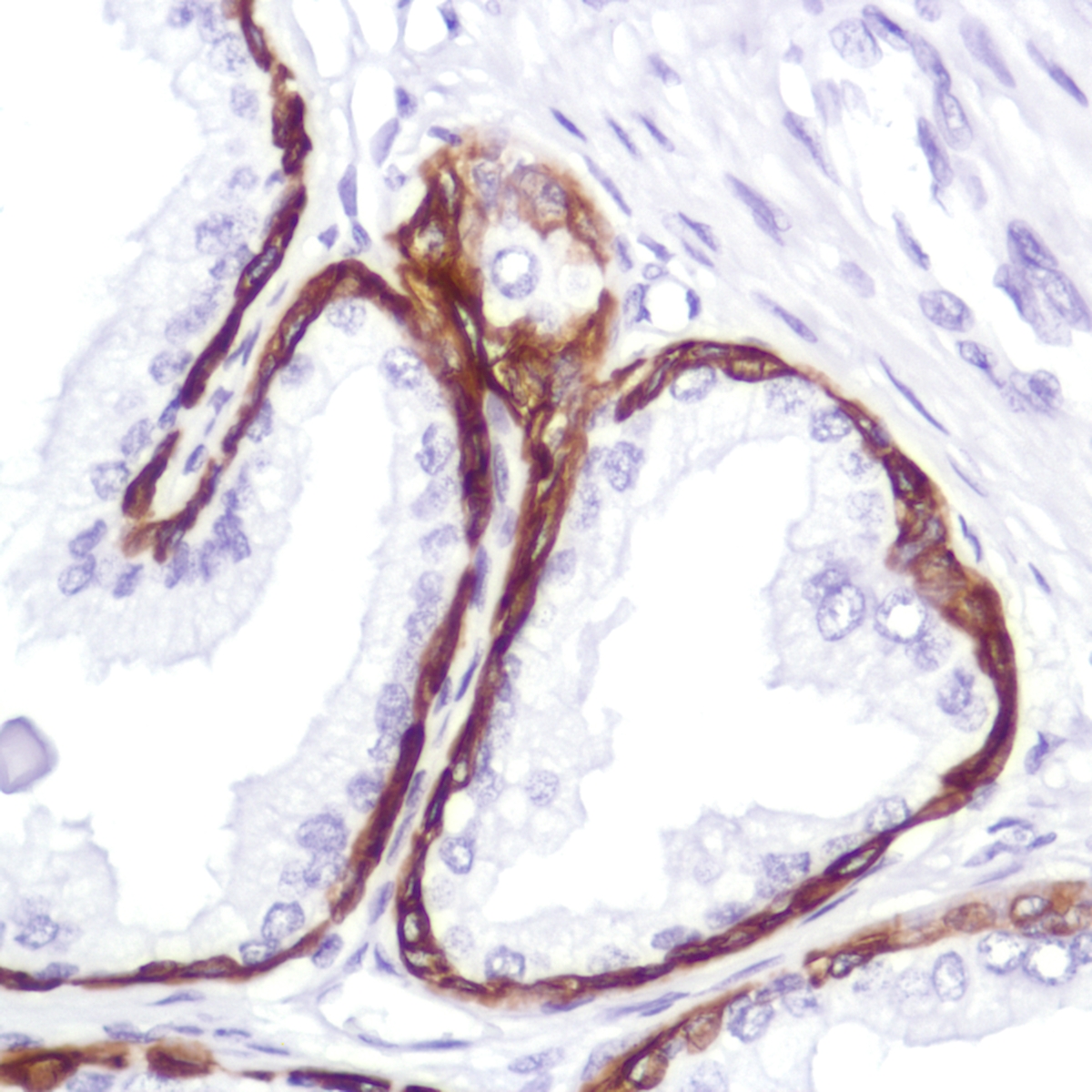
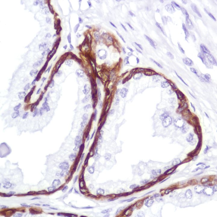
Keratin 5 (SP178)

Keratin-5 (CK5) is a basic (type II) polypeptides expressed by squamous cell epithelium, myoepithelial cells of the breast and the basal cells of the prostate. It is expressed in most epithelial mesotheliomas, but not by most pulmonary adenocarcinomas. CK5 along with CK6 is expressed in almost all squamous cell carcinomas, half of transitional cell carcinomas, and many undifferentiated large cell carcinomas.

Related Files