Welcome to Discovery-Sci

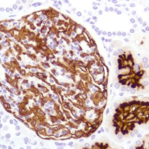
CD10 (SP179)

CD10, also known as the Common Acute Lymphocytic Leukemia Antigen (CALLA), is a cell surface enzyme with neutral metalloendopeptidase activity. CD10 is a marker for germinal center B cells and is expressed in some B cell leukemia/lymphomas such as chronic myelocytic leukemia (CML), lymphoblastic, and Burkitt's lymphomas as well as some carcinomas such as hepatocellular carcinoma and renal cell carcinoma.

Related Files