Welcome to Discovery-Sci

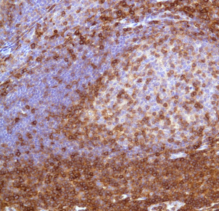
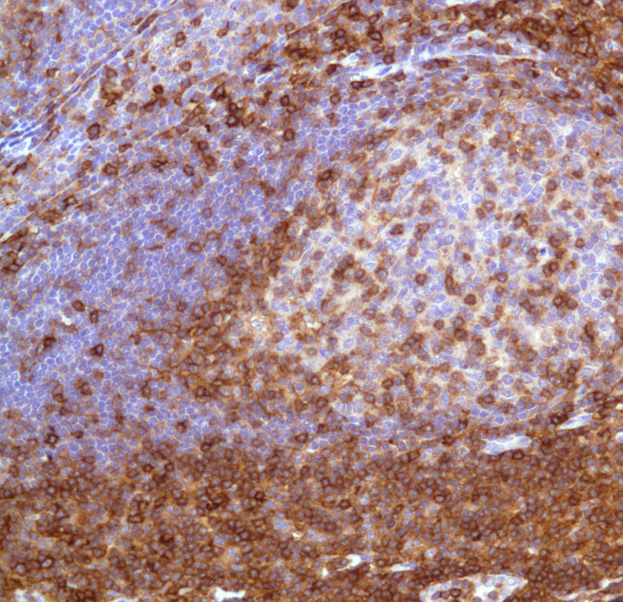
CD43 (SP55)

 CD43 is one of the major glycoproteins of thymocytes and T lymphocytes. It plays a role in the physicochemical properties of the T cell surface and in lectin binding. CD43 presents carbohydrate ligands to selectins. It has an extended rodlike structure that could protrude above the glycocalyx of the cell and allow multiple glycan chains to be accessible for binding. The antigen is a counter receptor for SN/Siglec1. During T cell activation CD43 is actively removed from the T cell antigen presenting cell contact site suggesting a negative regulatory role in adaptive immune response.

Related Files