Welcome to Discovery-Sci

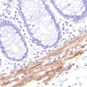
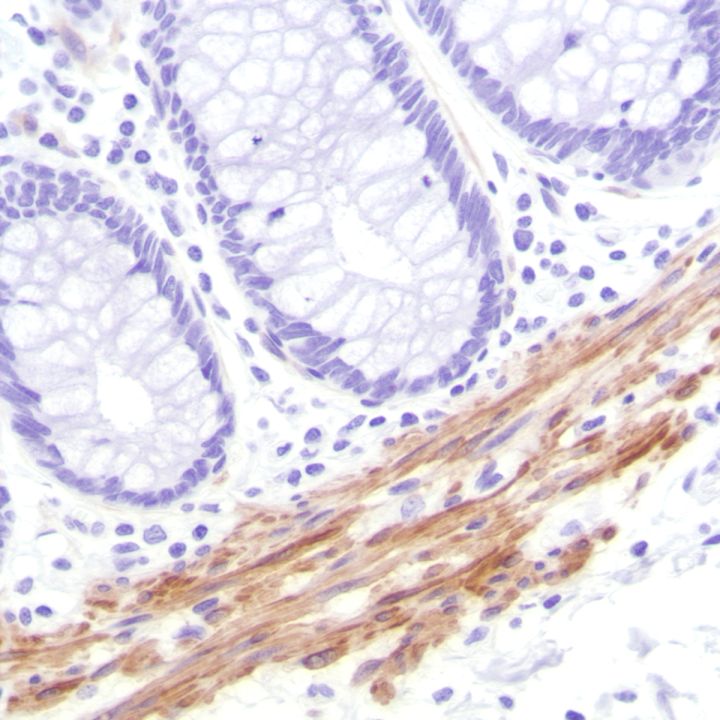
Calponin-1 (SP181)

Calponin-1 is a smooth muscle-specific protein and interacts with actin, calmodulin, troponin C and tropomyosin to regulate smooth muscle contract. It is also expressed by myoepithelial cells, myofibroblasts, keratinocytes, nerve fibers, smooth muscle cell tumors such as glomus tumors and myofibrosarcoma, and tissues containing significant amounts of smooth muscle.

Related Files