Welcome to Discovery-Sci

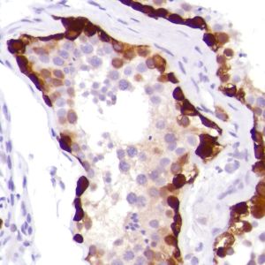
MAGE-A1 (SP188)

Melanoma-associated antigen 1 (MAGE-A1) is one of the melanoma associated antigens (MAAs). MAGE-A1 is highly expressed in testis and some human solid tumors such as melanoma, brain tumors of glial origin, neuroblastoma, non-small cell lung cancer, breast, gastric, colorectal, ovarian and renal cell carcinomas.

Related Files