Welcome to Discovery-Sci

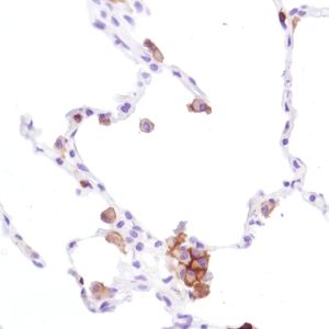
CD16a

CD16 is a cluster of differentiation found on the surface of natural killer or polymorphonuclear leukocytes (PMN) cells, neutrophils, monocytes and macrophages. There are two CD16 isoform CD16a and CD16b. CD16a is expressed in monocytes, macrophages and NK cells and CD16b is expressed in neutrophils.

Related Files