Welcome to Discovery-Sci

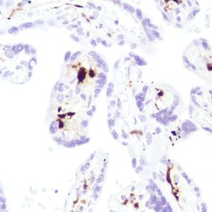
Coagulation Factor XIIIa (SP196)

Coagulation Factor XIIIa, also known as fibrinoligase and fibrin-stabilizing factor, is the last enzyme in the blood coagulation cascade. It is a Ca2+-dependent transglutaminase in the stabilization of the fibrin clot. Factor XIIIa is expressed in some dendritic cells of placenta, skin, bladder, lung, and diseases with rich dendritic cells such as dermatofibroma, psoriasis, and Hodgkin’s lymphoma.

Related Files