Welcome to Discovery-Sci

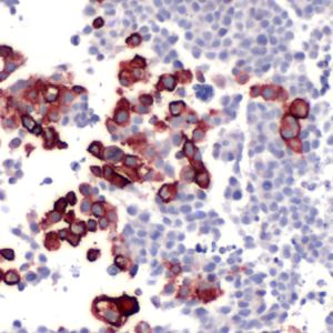
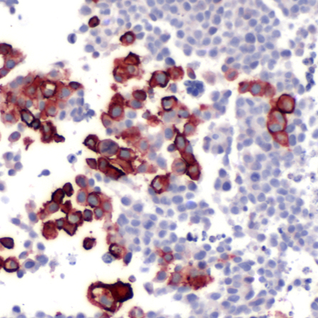
c-Met (Paired 1003) (SP59)

 The c-Met oncogene was originally isolated from a chemical carcinogen-treated human osteogenic sarcoma cell line by transfection analysis in NIH/3T3 cells. The Met proto-oncogene product was identified as a trans-membrane receptor-like protein with tyrosine kinase activity that is expressed in many tissues. The c-Met gene product has been identified as the cell surface receptor for hepatocyte growth factor, a plasminogen-like protein thought to be a humoral mediator of liver regeneration.

Related Files