Welcome to Discovery-Sci

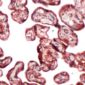
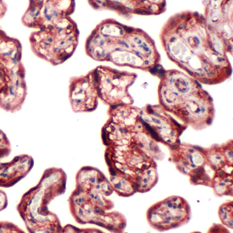
PI3K p85 (SP62)

 Phosphatidylinositol 3-kinase phosphorylates the inositol ring of phosphatidylinositol at the 3-prime position. The enzyme comprises a 110kDa catalytic subunit and a regulatory subunit of either 85, 55, or 50kDa. PI3K p85 is a 85kDa regulatory subunit. Phosphatidylinositol 3-kinase plays an important role in the metabolic actions of insulin, and a mutation in this gene has been associated with insulin resistance.

Related Files