Welcome to Discovery-Sci

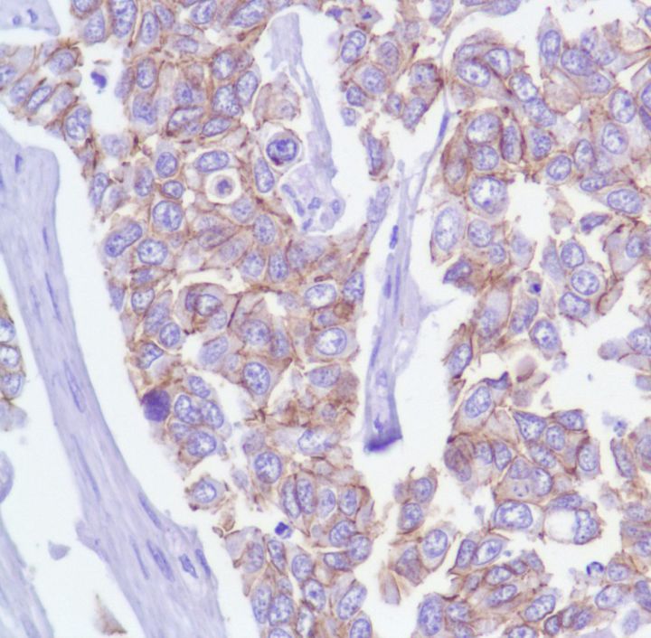
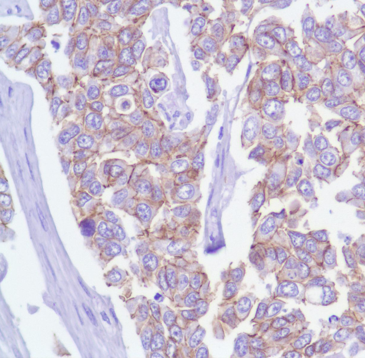
p120 (catenin delta 1) (SP63)

 delta 1 Catenin (p120) is an efficient tyrosine kinase substrate implicated both in cell transformation by SRC and in ligand-induced receptor signaling through the EGF, PDGF, CSF-1 and ERBB2 receptors. The association of catenins to cadherins produces a complex which is linked to the actin filament network, and which seems to be of primary importance for cadherins cell-adhesion properties

Related Files