Welcome to Discovery-Sci

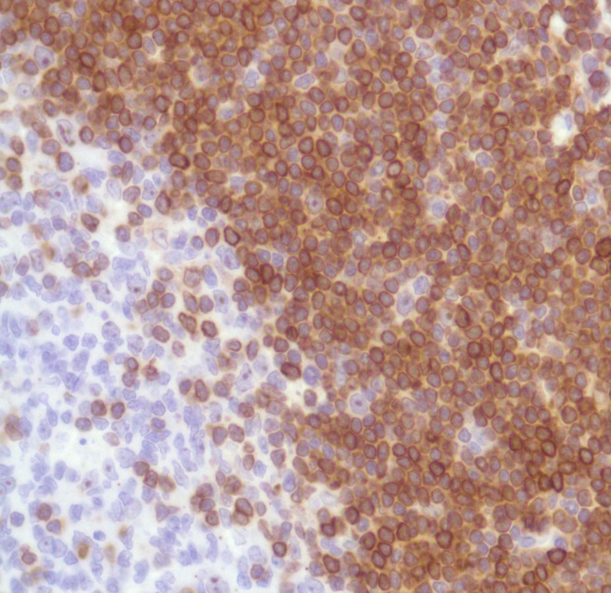
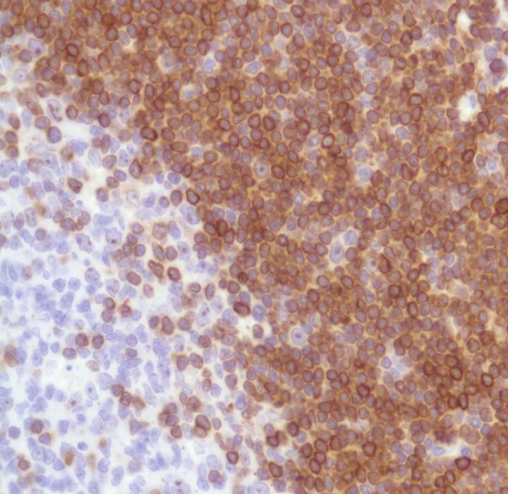
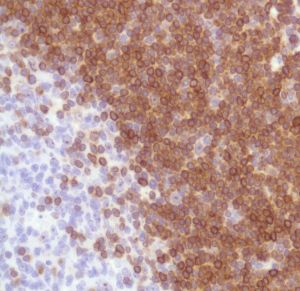
BCL-2 alpha (SP66)

 Expression of BCL-2 alpha oncoprotein inhibits the programmed cell death (apoptosis). In most follicular lymphomas, neoplastic germinal centers express high levels of BCL-2 alpha protein, whereas the normal or hyperplastic germinal centers are negative.

Related Files