Welcome to Discovery-Sci

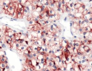
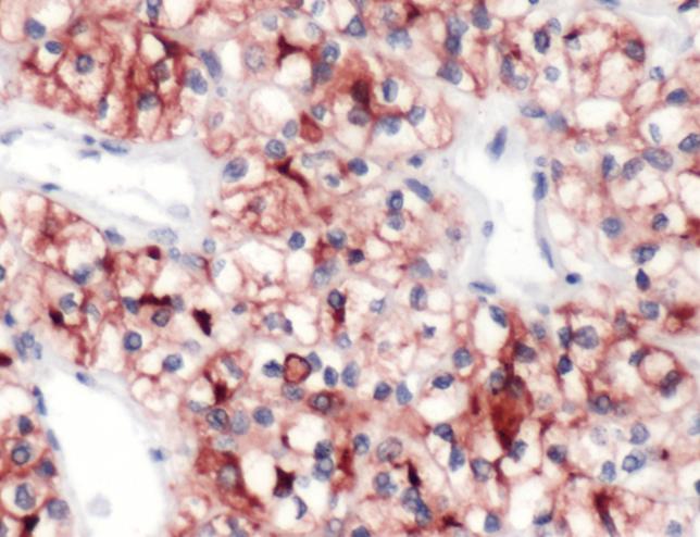
CD10 (SP67)

 CD10, also known as the Common Acute Lymphocytic Leukemia Antigen (CALLA), is a cell surface enzyme with neutral metalloendopeptidase activity which inactivates a variety of biologically active peptides. CD10 is expressed on the cells of lymphoblastic, Burkitt's, and follicular germinal center lymphomas, immature B cells with in adult bone marrow and on cells from patients with chronic myelocytic leukemia (CML). CD10 is also present on breast myoepithelial cells, bile canaliculi, fibroblasts, with especially high expression on the brush border of kidney and gut epithelial cells.

Related Files