Welcome to Discovery-Sci

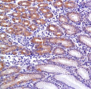
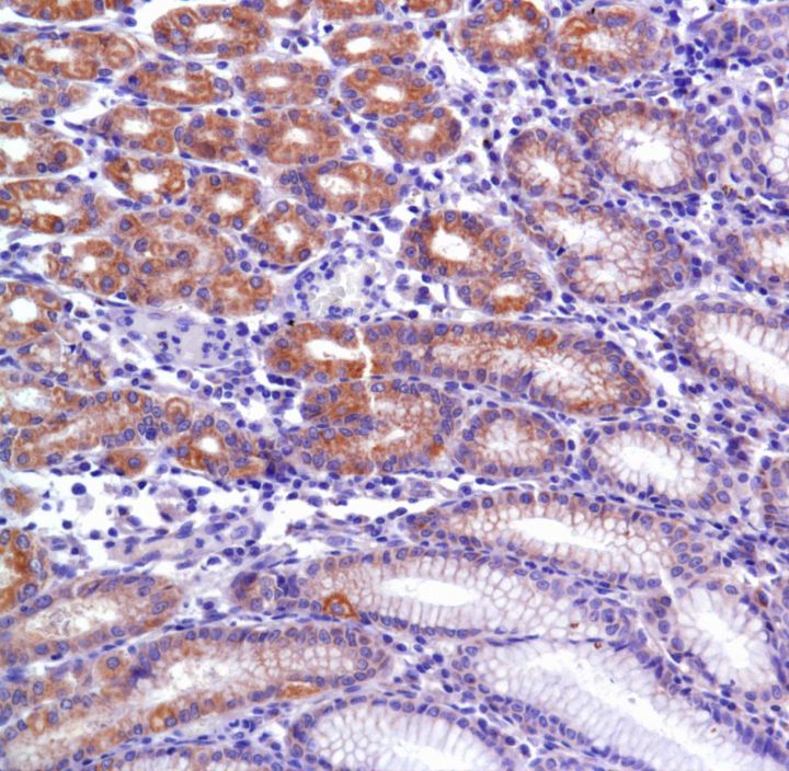
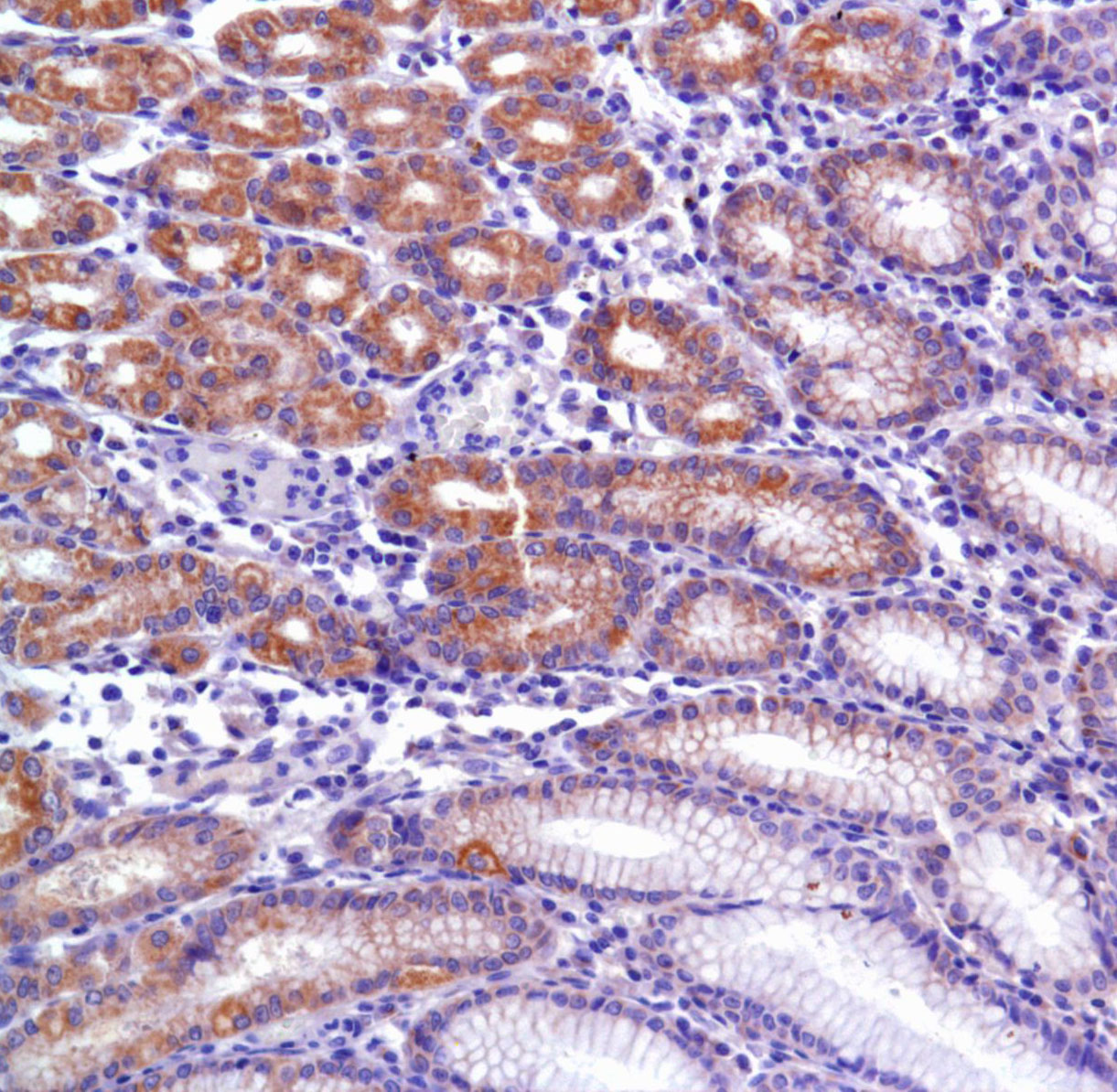
Survivin (SP79)

 Survivin is an inhibitor of apoptosis (IAP) protein. It is expressed in the G2/M phase of the cell cycle in a cycle-regulated manner. The overexpression of survivin in cancer may overcome this apoptotic checkpoint and favor aberrant progression of transformed cells through mitosis. 

Related Files