Welcome to Discovery-Sci

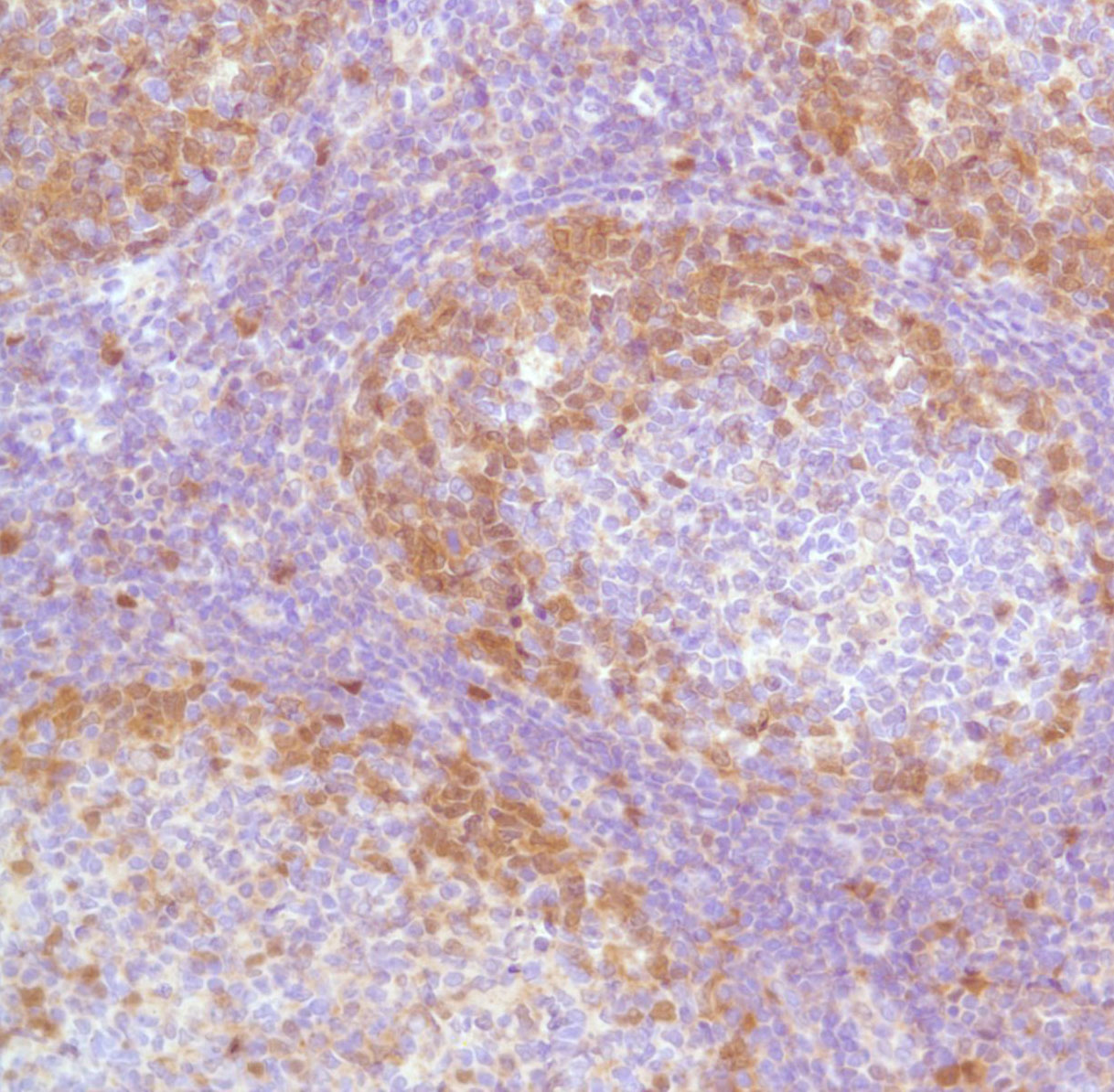
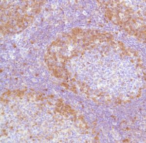
CDK2 (SP80)

 CDK2 is a member of the Ser/Thr protein kinase family. It is highly similar to the gene products of S. cerevisiae cdc28, and S. pombe cdc2. It is a catalytic subunit of the cyclin-dependent protein kinase complex, whose activity is restricted to the G1-S phase, and is essential for cell cycle G1/S phase transition. This protein associates with and is regulated by the regulatory subunits of the complex including cyclin A or E, CDK inhibitor p21Cip1 (CDKN1A) and p27Kip1 (CDKN1B). Its activity is also regulated by protein phosphorylation. Two alternatively spliced variants and multiple transcription initiation sites of this gene have been reported.

Related Files