Welcome to Discovery-Sci

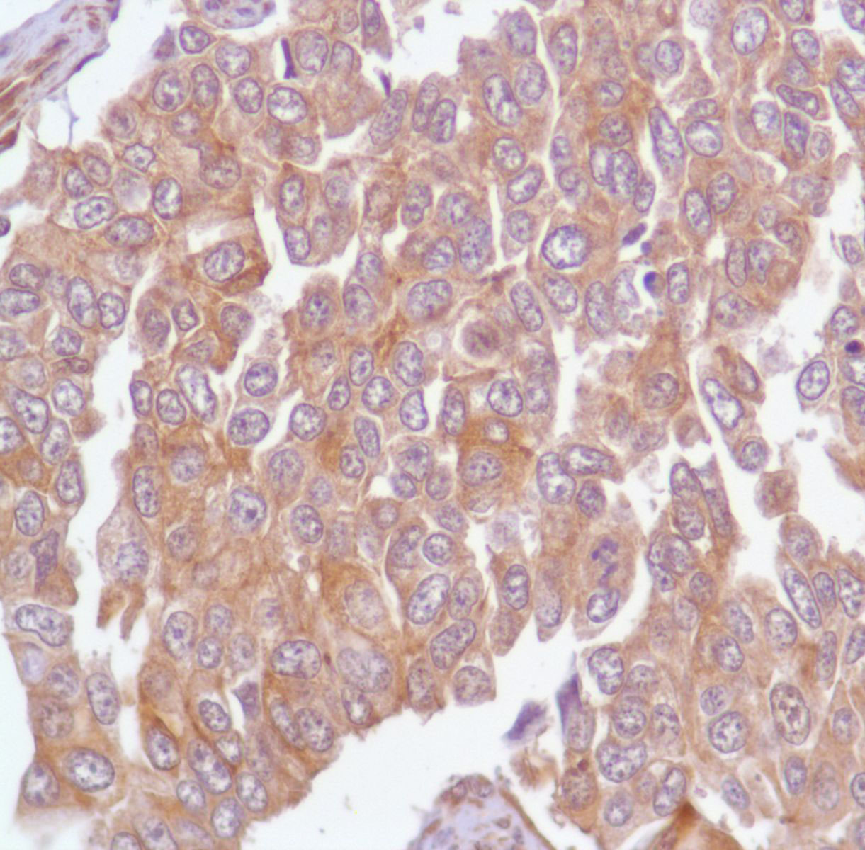
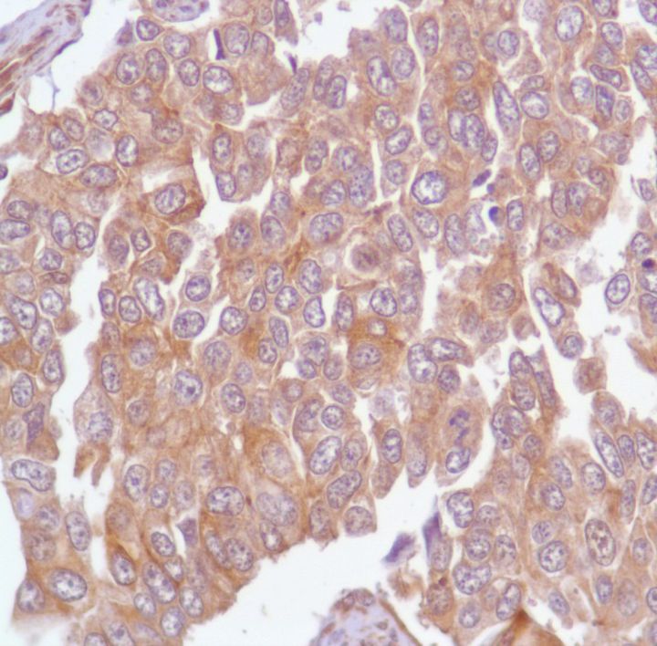
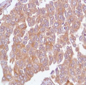
Calpain (SP81)

 Calpains are a ubiquitous, well-conserved family of calcium-dependent, cysteine proteases. Calpain families have been implicated in neurodegenerative processes, as their activation can be triggered by calcium influx and oxidative stress. Calpain I and II are heterodimeric with distinct large subunits associated with common small subunits, all of which are encoded by different genes. Calpain S1 is a small subunit common to both calpain I and II and is associated with myotonic dystrophy.

Related Files