Welcome to Discovery-Sci

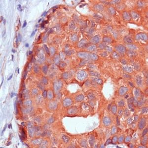
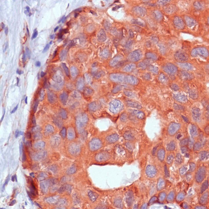
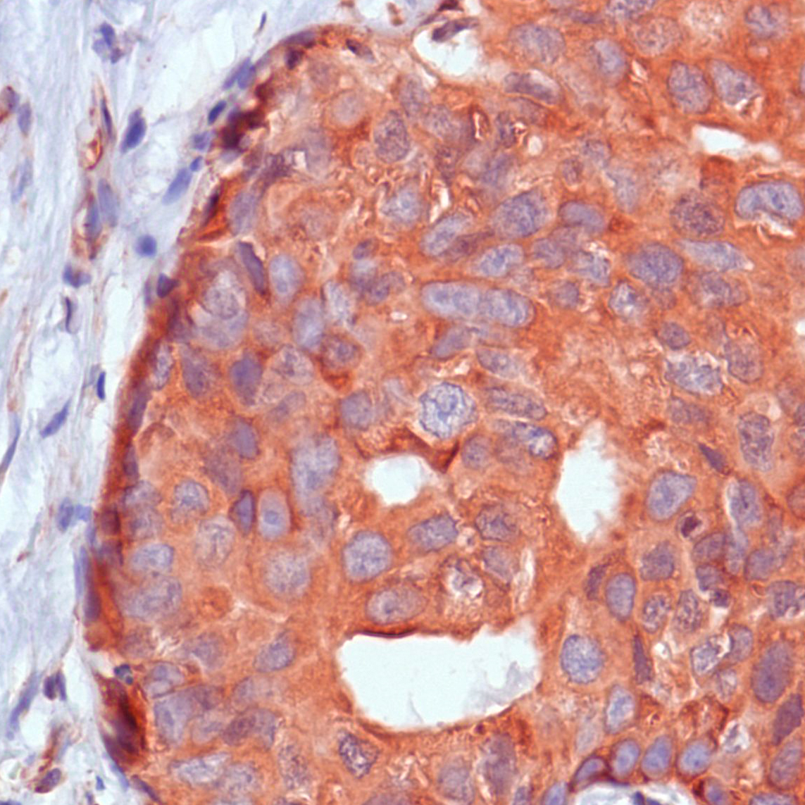
Calpastatin (SP82)

 Calpastatin is an endogenous calpain (calcium-dependent cysteine protease) inhibitor. It consists of an N-terminal domain L and four repetitive calpain-inhibition domains (domains 1-4), and it is involved in the proteolysis of amyloid precursor protein. The calpain/calpastatin system is involved in numerous membrane fusion events, such as neural vesicle exocytosis and platelet and red-cell aggregation. The protein is also thought to affect the expression levels of genes encoding structural or regulatory proteins. The calpain system has been detected in every vertebrate tissue examined, and has been suggested to play a regulatory role in cellular protein metabolism. This regulatory role may have important implications in platelet aggregation and pathologies associated with altered calcium homeostasis and protein metabolism such as ischemic cell injury and degenerative diseases. Inhibitors of calpain have been shown to block dexamethasone and low-level irradiation induced apoptosis in thymocytes suggesting that calpain has a regulatory or mechanistic role in apoptotic cell death. Calpastatin, a specific endogenous inhibitor of calpain, has a predicted molecular weight of ~77kDa and an internal repeat of four homologous domains which allow it to inhibit multiple calpain molecules simultaneously. It functions by binding to calpain when calpain binds calcium. When calpastatin is subjected to proteolytic digestion, fragments of calpastatin as small as 15kDa still retain inhibitory activity.

Related Files