Welcome to Discovery-Sci

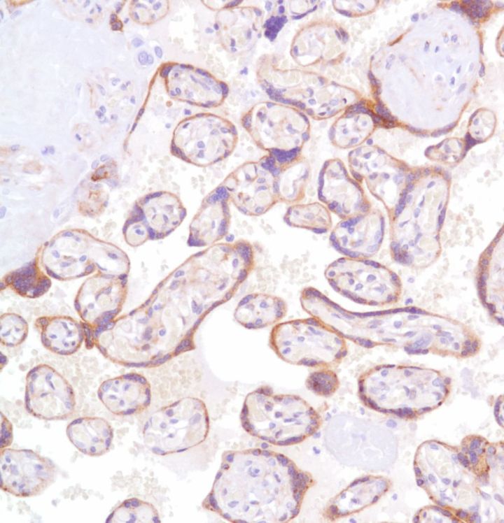
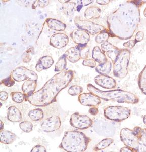
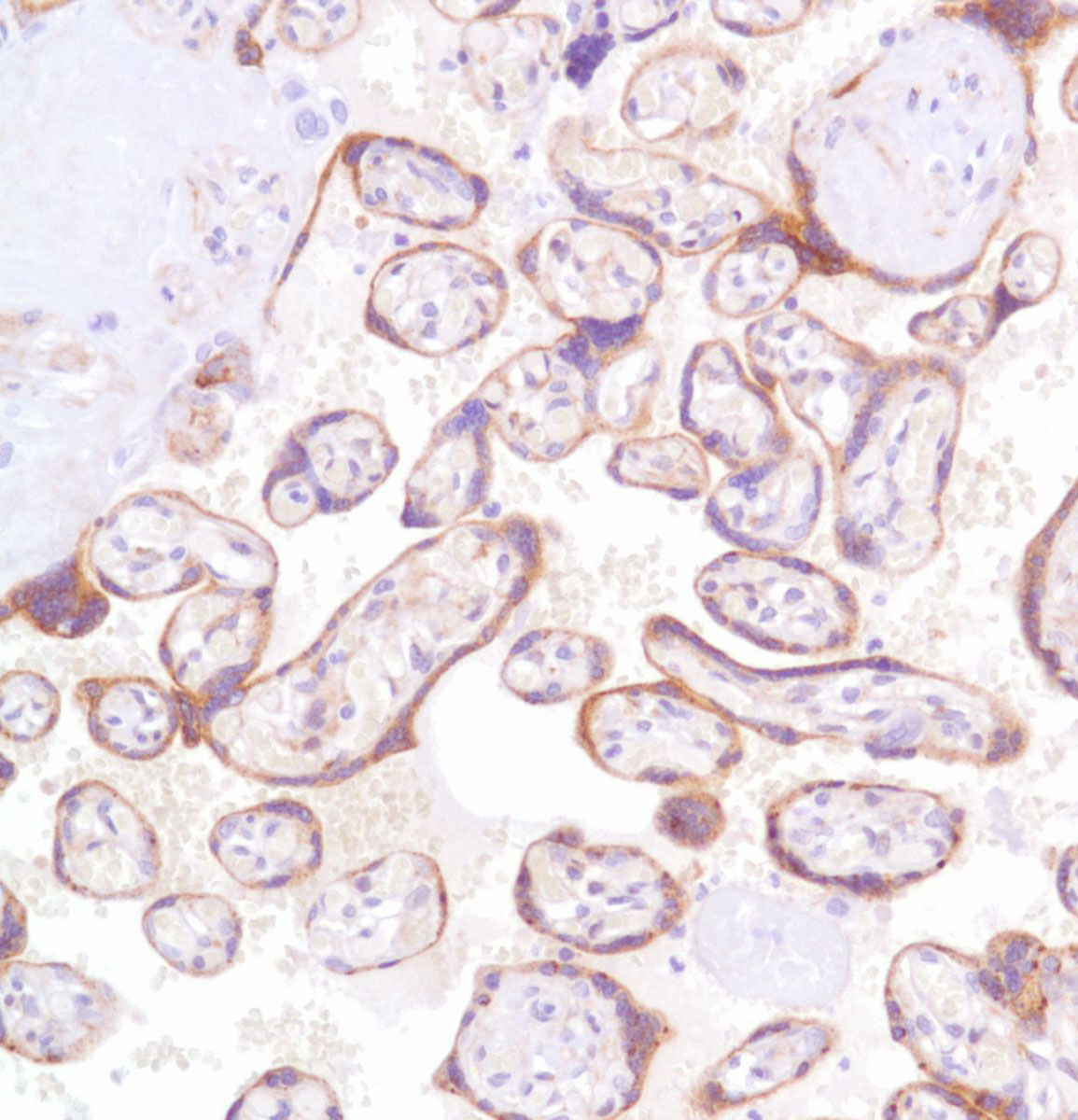
Glypican-3 (SP86)

 Glypican-3 (GPC3) is a cell surface proteoglycan that bears heparan sulfate. It may be involved in the suppression/modulation of growth in the predominately mesodermal tissues and organs. Alteration of GPC3 expression is associated with several malignancies such as hepatocellular carcinoma (HCC). This antibody can be used to detect GPC3 in both normal and neoplastic tissue types. This antibody should not be used to differentiate hepatocellular carcinoma (HCC) from either normal liver or other types of liver disease.

Related Files