Welcome to Discovery-Sci

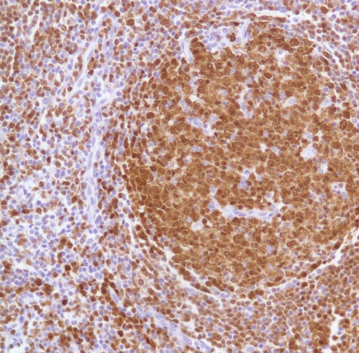
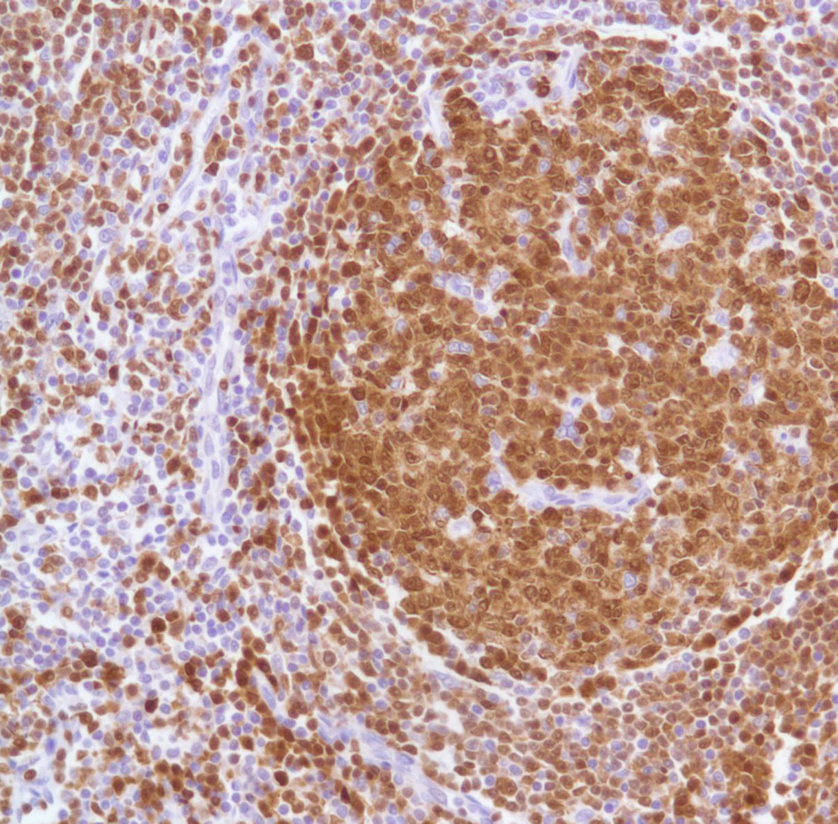
BOB-1 (SP92)

 B cell Oct binding protein 1 (BOB-1), is a transcription factor that is required for germinal center formation and immunoglobulin production. BOB-1 is expressed at high levels in spleen and peripheral blood leukocytes and represents an OCT co-factor capable of conferring cell specific activation of OCT-1 and OCT-2.

Related Files