Welcome to Discovery-Sci

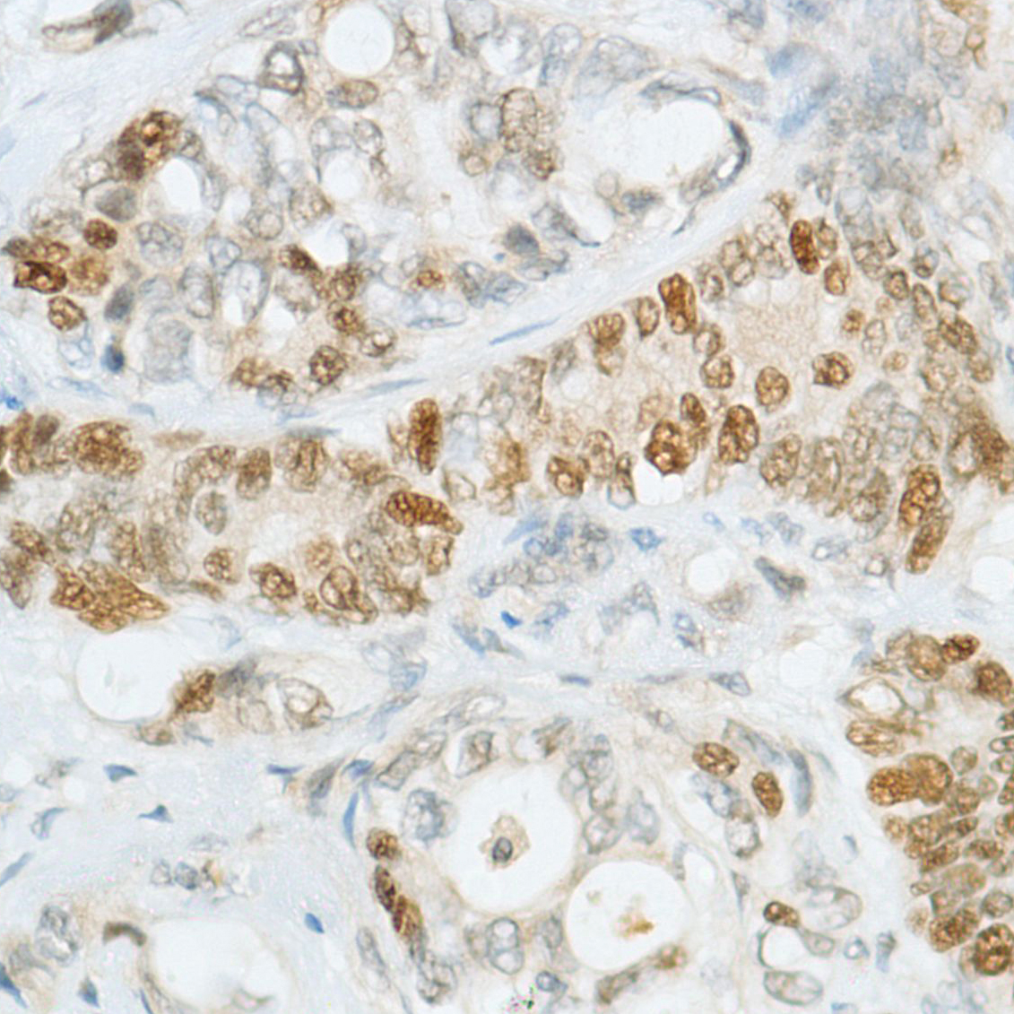
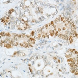
MSH6 (SP93)

 Defects in MSH6 are a cause of hereditary non-polyposis colorectal cancer (HNPCC) (Lynch syndrome). HNPCC is an autosomal, dominantly inherited disease associated with marked increase in cancer susceptibility. It is characterized by a familial predisposition to early onset colorectal carcinoma (crc) and extra-colonic cancers of the gastrointestinal, urological and female reproductive tracts. HNPCC is reported to be the most common form of inherited colorectal cancer in the western world. MSH6 is central to mismatch DNA repair.

Related Files