Welcome to Discovery-Sci

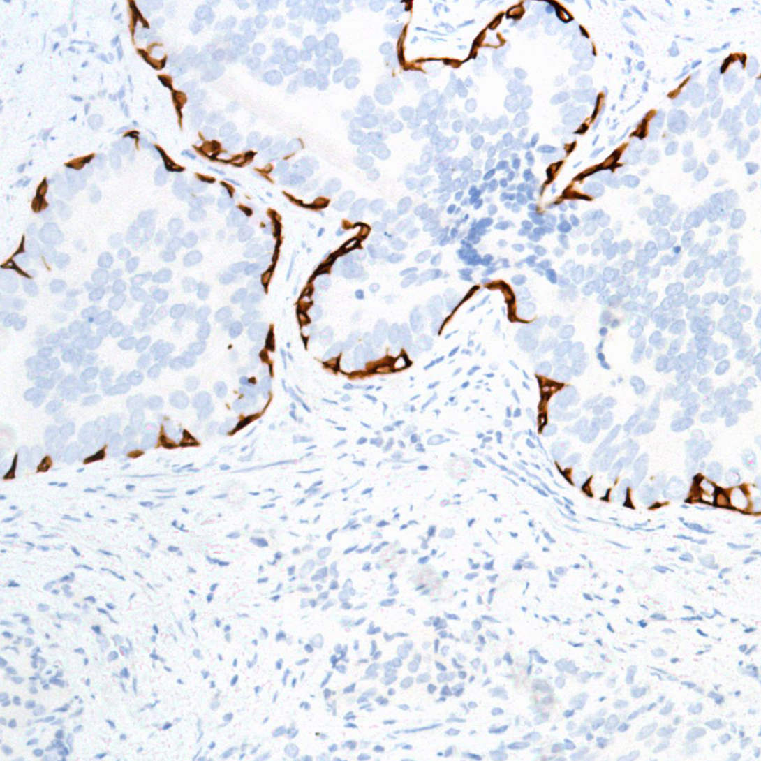
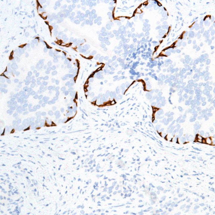
Keratin 17 (SP95)

 Keratin 17 plays a role in the formation and maintenance of various skin appendages, specifically in determining shape and orientation of hair. It may be a marker of basal cell differentiation in complex epithelia and therefore indicative of a certain type of epithelial "stem cells" and also act as an autoantigen in the immunopathogenesis of psoriasis, with certain peptide regions being a major target for autoreactive T-cells and hence causing their proliferation. It is required for the correct growth of hair follicles, in particular for the persistence of the anagen (growth) state and modulates the function of TNF-alpha in the specific context of hair cycling. It regulates protein synthesis and epithelial cell growth through binding to the adapter protein SFN and by stimulating Akt/mTOR pathway and is involved in tissue repair. Keratin 17 is expressed in the outer root sheath and medulla region of hair follicle specifically from eyebrow and beard, digital pulp, nail matrix and nail bed epithelium, mucosal stratified squamous epithelia and in basal cells of oral epithelium, palmoplantar epidermis and sweat and mammary glands. It is also expressed in myoepithelium of prostate, basal layer of urinary bladder, cambial cells of sebaceous gland and in exocervix (at protein level).

Related Files