Welcome to Discovery-Sci

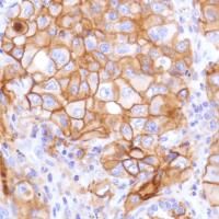
PD-L1/CD274 (SP142)

Programmed cell death 1 ligand 1 (PD-L1) also known as cluster of differentiation (CD274) or B7 homolog 1 (B7-H1) is a type 1 transmembrane protein involved in the regulation of cellular and humoral immune responses. The interaction of PDL-1 with its receptor PD-1 provides both stimulatory and inhibitory signals in regulating T cell activation and tolerance during pregnancy, tissue allografts, autoimmune disease and malignant transformation. PDL-1 is mainly expressed in antigen presenting cells, activated T and B cells, placenta, and some tumors such as melanoma, diffuse large B-cell lymphoma, and carcinoma of the lung, colon, and rectum.

 

 

Related Files