Welcome to Discovery-Sci

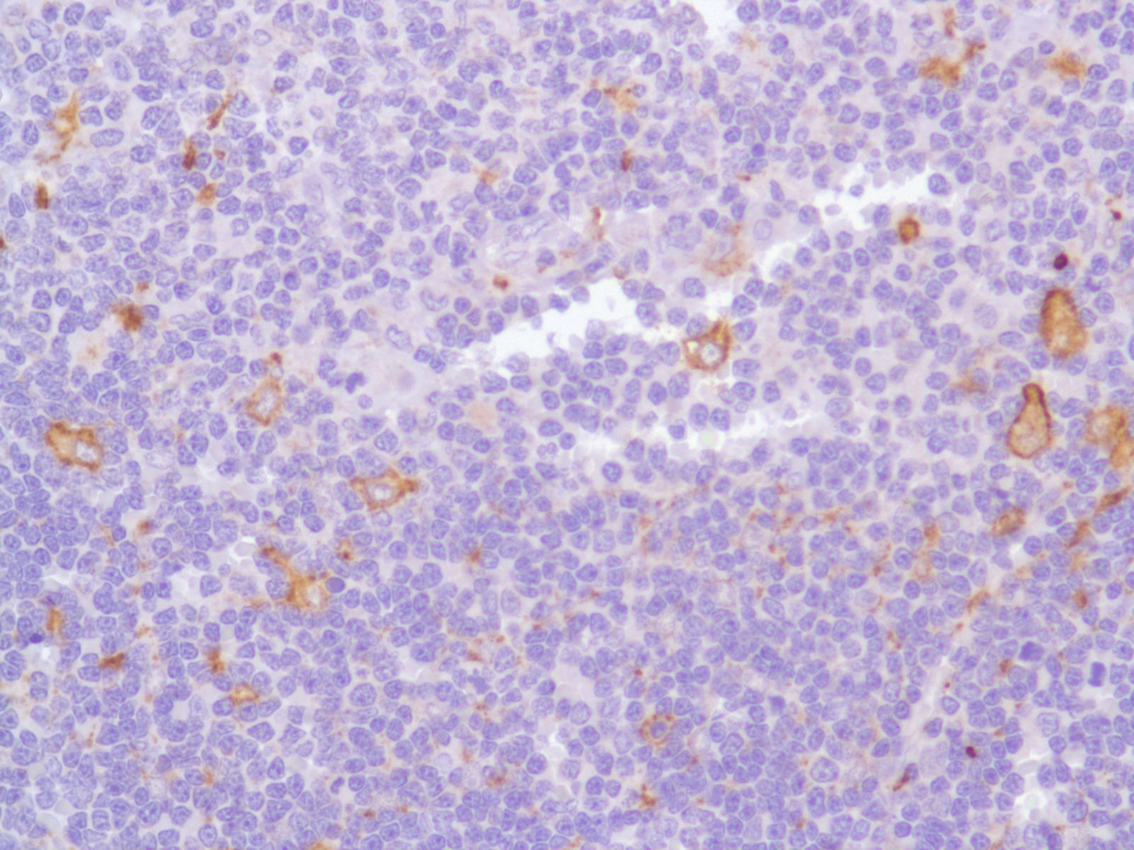
CD163 (SP96)

 CD163 is a 130kDa membrane glycoprotein. It is a member of the scavenger receptor cysteine-rich superfamily and is a receptor for the hemoglobin-haptoglobin complex. CD163 is expressed exclusively on the cell surface of human monocytes and macrophages that evolve predominantly in the late phase of inflammation. CD163 is present on all CD14 positive monocytes, most CD64 positive monocytes, and shows higher expression on CD16 positive monocytes. CD163 is upregulated on mononuclear phagocytes by IL-10, IL-6 and dexamethasone. Lipopolysaccharide (LPS) and phorbol myristate acetate (PMA) both induce shedding of CD163 from the cell surface into plasma or cell supernatant.

Related Files