Welcome to Discovery-Sci

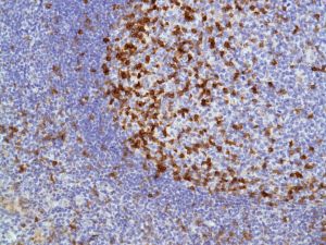
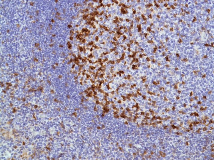
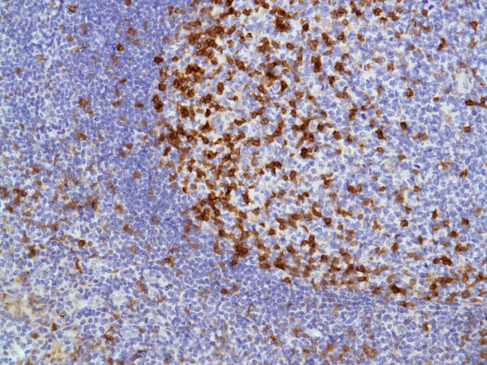
CD278/ICOS (SP98)

 CD278 belongs to the CD28 and CTLA-4 cell-surface receptor family and is highly expressed in activated T-cells. It is essential both for efficient interaction between T and B-cells and for normal antibody responses to T-cell dependent antigens. It enhances all basic T-cell responses to a foreign antigen, namely proliferation, secretion of lymphokines, up-regulation of molecules that mediate cell-cell interaction, and effective help for antibody secretion by B-cells.

Related Files