Welcome to Discovery-Sci

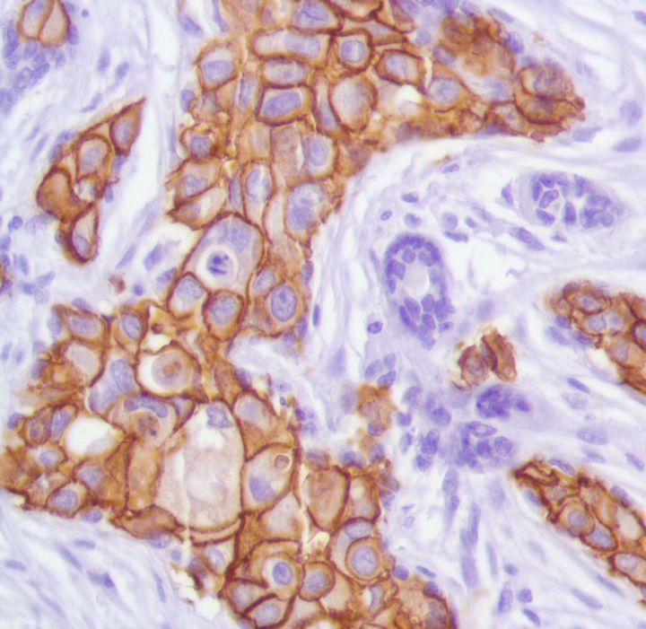
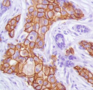
c-erbB-2/HER-2 (cerbB2/HER2) (SP101)

c-erbB-2 is a receptor tyrosine kinase of the c-erbB family. It is closely related in structure to the epidermal growth factor receptor. c-erbB-2 oncoprotein is detectable in a proportion of breast and other adenocarconomas, as well as transitional cell carcinomas.

Related Files