Welcome to Discovery-Sci

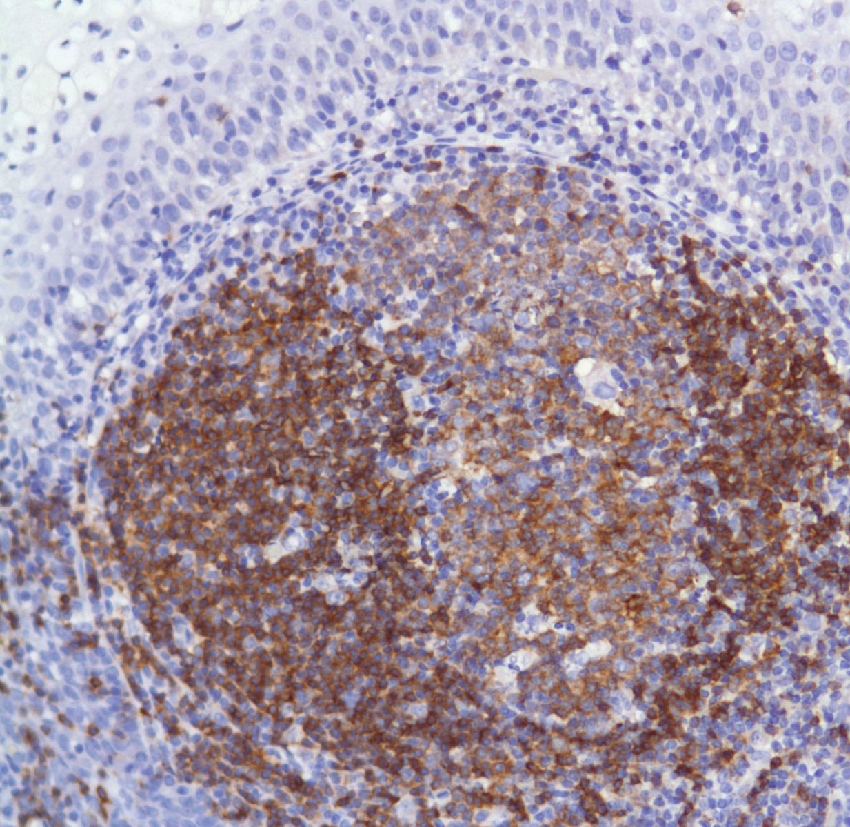
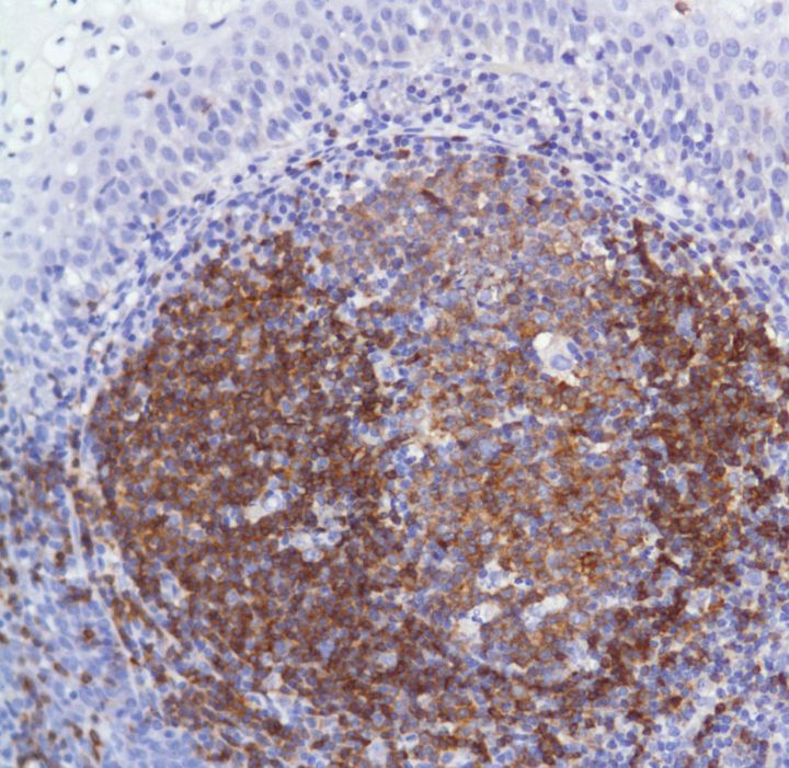
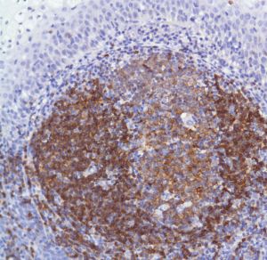
CD22 (SP104)

 CD22 is a type 1 integral membrane glycoprotein with molecular weight of 130 to 140kD. It is expressed in both the cytoplasm and cell membrane of B lymphocytes. CD22 antigen appears early in B cell lymphocyte differentiation at approximately the same stage as the CD19 antigen. Unlike other B cell markers, CD22 membrane expression is limited to the late differentiation stages comprised between mature B cells (CD22+) and plasma cells (CD22-). CD22 is also strongly expressed in hairy cell leukemia. There are two different isoforms of CD22. It exists predominantly as a monomer of the beta isoform but can also be found as a heterodimer composed of the beta isoform and a second, shorter isoform (CD22 alpha).

Related Files