Welcome to Discovery-Sci

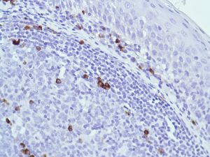
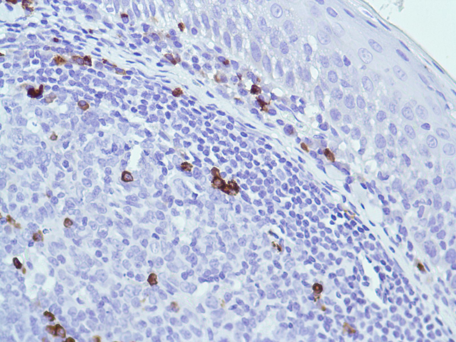
J-chain (SP105)

 J chain is a small glycopeptide and is structurally unrelated to heavy or light chains, but is synthesized by all plasma cells that secrete polymeric immunoglobulins. J chain is linked to IgA and IgM by disulfide bonds, however, it has been detected in IgG- and IgD-containing cells. J chains are present in a large proportion of the immunoglobulin-positive cells in the germinal centers of the tonsil and lymph node. B cells secrete J chain at an early stage of differentiation with the expression persisting in those cells destined to produce IgA or IgM.

Related Files