Welcome to Discovery-Sci

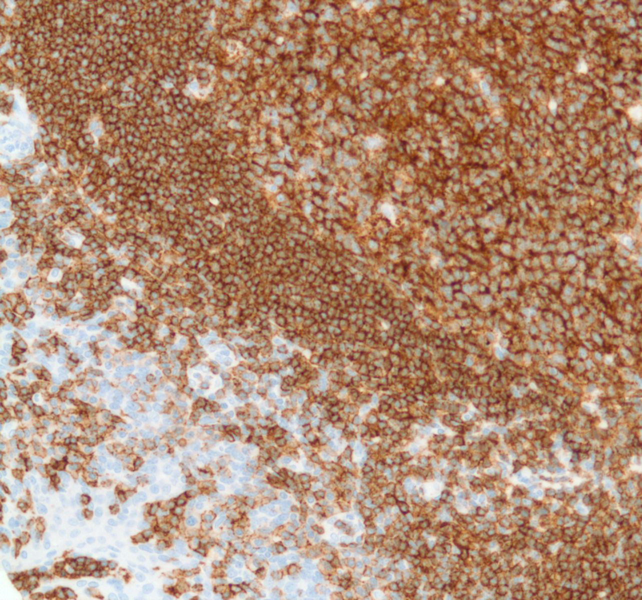
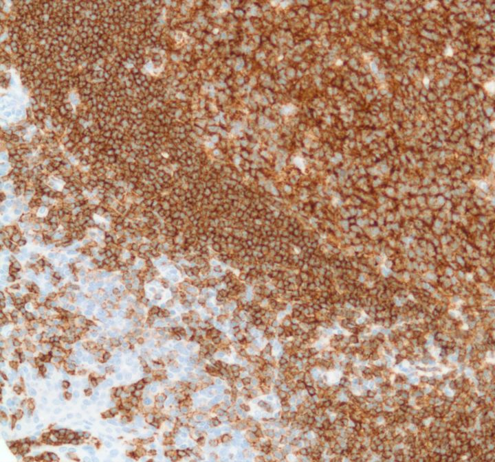
CD19 (SP110)

 CD19 is expressed in B lymphocytes and B-cell lymphoma. It may also be present on some early myeloid progenitors, particularly those of the monoblastic type. It appears to be expressed on myeloid leukemia cells, particularly those of monocytic lineage. Leukemia phenotype studies have demonstrated that the earliest and broadest B cell restricted antigen is the CD19 antigen. CD19 is negative in T lymphocytes, plasma cells, and their tumors.

Related Files