Welcome to Discovery-Sci

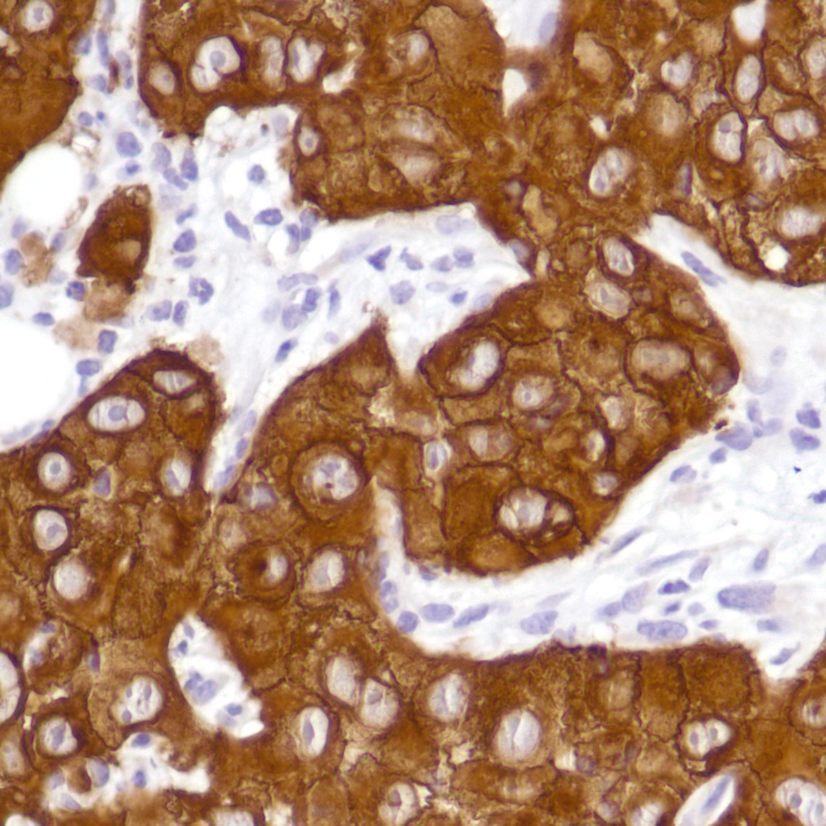
Epidermal Growth Factor Receptor (EGFR) (E746-A750del) (SP111)

 EGFR is a transmembrane tyrosine kinase that belongs to the HER/erbB protein family. Somatic mutations in the tyrosine kinase domain of EGFR are present in a subset of lung adenocarcinoma. Two types of mutations account for approximately 90% of mutant cases: a specific point mutation L858R which occurs in exon 21 and short in-frame deletions in exon 19. A common lesion in exon 19 is the deletion of E746-A750, although other variants can also occur.

Related Files