Welcome to Discovery-Sci

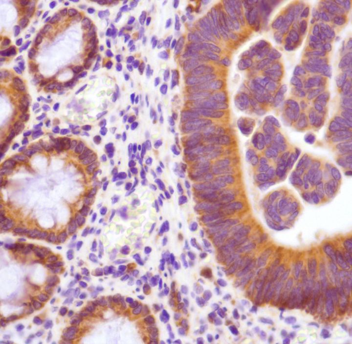
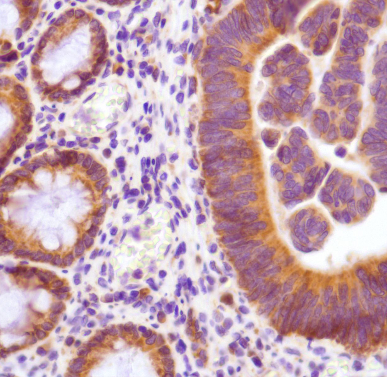
Thymidylate Synthase (TS) (SP112)

 Thymidylate Synthase (TS) (EC 2.1.1.45) converts deoxyuridine monophosphate (dUMP) to deoxythymidine monophosphate (dTMP), which is essential for DNA biosynthesis. TS is a critical target for the fluoropyrimidines, an important group of anti-neoplastic drugs that are widely used in the treatment of solid tumors. Both 5-FU and fluorodeoxyuridine are converted in tumor cells to FdUMP which inactivates TS by formation of a ternary covalent complex in the presence of the folate cofactor 5,10-methylenetetrahydrofolate. Overexpression of TS has been demonstrated in many types of tumors including breast, colon, gastric and melanoma.

Related Files