Welcome to Discovery-Sci

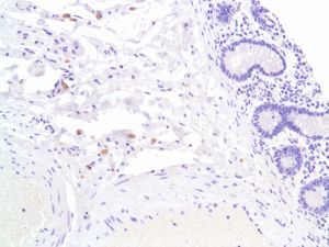
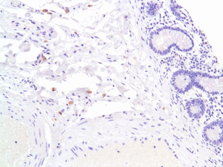
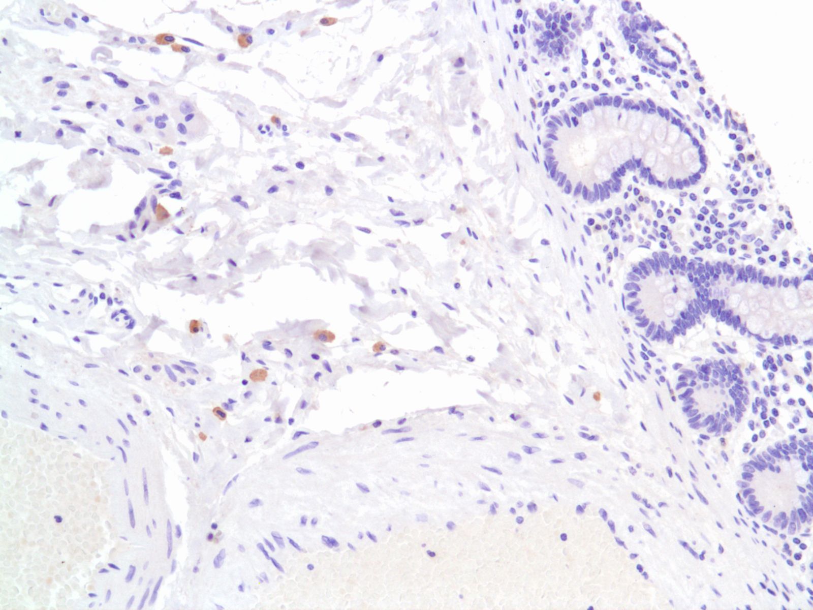
F4/80 (SP115)

 Mouse EGF-like module-containing mucin-like hormone receptor-like 1 (EMR1) or cell surface glycoprotein F4/80 is a cell surface glycoprotein and a member of the EGF TM7 family of proteins. It shares 68% overall amino acid identity with human EGF-module-containing-mucin-like hormone receptor 1 (EMR1). Expression of F4/80 is heterogeneous and is reported to vary during macrophage maturation and activation. The F4/80 antigen is expressed on a wide range of mature tissue macrophages including Kupffer cells, Langerhans, microglia, macrophages located in the gut lamina propria, peritoneal cavity, lung, thymus, bone marrow stroma and macrophages in the red pulp of the spleen. F4/80 expression has also been reported on a subpopulation of dendritic cells but is absent from macrophages located in T cell areas of the spleen and lymph node. The ligands and biological functions of the F4/80 antigen have not yet been determined but recent studies suggest a role for F4/80 in the generation of efferent CD8+ regulatory T cells.

Related Files